CẠO VÔI RĂNG
VÔI RĂNG (CAO RĂNG) LÀ GÌ?
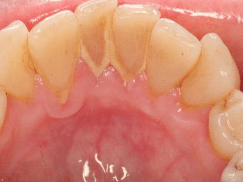
Vôi răng, hay còn gọi là cao răng, là những lớp bám hình thành từ các vụn thức ăn thừa, tích tụ trên bề mặt răng và nướu.
Những khu vực mà vôi răng thường “ưa thích” xuất hiện là trên bề mặt răng và xung quanh chân răng, thường mang màu vàng nhạt hoặc vàng đậm, gây mất thẩm mỹ và ảnh hưởng tiêu cực đến sức khỏe răng miệng. Qua thời gian, các mảng bám này sẽ bị vôi hóa và trở nên cứng chắc, không thể loại bỏ bằng các biện pháp vệ sinh răng miệng thông thường. Đây là nguyên nhân chủ yếu dẫn đến các vấn đề răng miệng phổ biến như hôi miệng và viêm nha chu.
VÌ SAO NÊN LẤY VÔI RĂNG ĐỊNH KỲ
Để duy trì sức khoẻ cho răng miệng, bạn cần thực hiện việc cạo vôi răng (hay còn gọi là chăm sóc nha chu) một cách thường xuyên. Việc loại bỏ vôi răng sẽ ngăn chặn sự hình thành và bám dính của chúng, đồng thời tạo điều kiện bất lợi cho vi khuẩn phát triển. Cạo vôi răng không chỉ giảm thiểu nguy cơ mắc phải các bệnh lý nghiêm trọng ảnh hưởng đến răng miệng, mà còn giúp bạn tự tin hơn với hàm răng trắng sáng và hơi thở thơm tho, thoải mái cười thật tươi mà không lo lắng về những khuyết điểm do vôi răng gây ra.
Vôi răng có thể gây ra nhiều vấn đề nghiêm trọng cho sức khỏe răng miệng, bao gồm:
- Tụt nướu, làm lộ ra chân răng.
- Hơi thở có mùi hôi, làm hỏng men răng và gia tăng nguy cơ sâu răng.
- Làm phát sinh các bệnh lý ở miệng và họng như viêm niêm mạc miệng, viêm họng, viêm amidan, và lở miệng.
- Gây chảy máu chân răng, đồng thời khiến răng trở nên ê buốt khi tiếp xúc với thức ăn quá nóng hoặc quá lạnh.
- Là nguyên nhân chính dẫn đến các bệnh về răng miệng như viêm nha chu, tiêu xương ổ răng, viêm tủy răng ngược dòng, thậm chí có thể gây ra tình trạng răng lung lay hoặc rụng, ảnh hưởng đến thẩm mỹ.
Cải thiện màu sắc răng
Thông thường, cao răng thường có màu vàng hoặc nâu vàng. Các mảng bám thực phẩm tích tụ trên bề mặt răng làm cho răng của bạn trở nên ố vàng và xỉn màu, gây mất đi vẻ đẹp của hàm răng. Do đó, việc cạo vôi răng được xem là phương pháp hiệu quả nhất để cải thiện màu sắc và nâng cao tính thẩm mỹ cho răng miệng.
Ngăn ngừa sâu răng và viêm
Viêm nướu xảy ra khi mảng bám thực phẩm tích tụ, dẫn đến sự phát triển của vi khuẩn, ảnh hưởng đến các nướu xung quanh và khu vực dưới đường viền nướu. Việc cạo vôi răng có thể giúp cải thiện tình trạng viêm nướu này.
Ngăn ngừa hôi miệng
Vi khuẩn bám trong răng kết hợp với các bã thức ăn sẽ tạo ra hơi thở có mùi hôi. Vì vậy, lấy cao răng chính là phương pháp thích hợp nhất giúp bạn lấy lại hơi thở thơm mát.
PHƯƠNG PHÁP CẠO VÔI RĂNG BẰNG SÓNG SIÊU ÂM
Tại Nha khoa Pleiku, phương pháp cạo vôi răng bằng sóng siêu âm được xem là một công nghệ tiên tiến và hiện đại. Ưu điểm nổi bật của phương pháp này là sự nhẹ nhàng, không gây cảm giác đau đớn như phương pháp cạo vôi truyền thống. Ngoài ra, nó cũng không gây ra tình trạng ê buốt hay kích ứng với nhiệt độ, đồng thời hạn chế tối đa việc bám dính của vụn thức ăn. Điều này xảy ra nhờ vào việc sóng siêu âm có khả năng phá vỡ các liên kết của mảng vôi răng, thâm nhập vào những khu vực kẽ răng khó tiếp cận, giúp làm sạch răng một cách hiệu quả nhất.
Thời gian thực hiện cạo vôi răng tại Nha khoa Pleiku chỉ mất khoảng 15-20 phút (tùy thuộc vào tình trạng răng miệng của bạn), rất nhẹ nhàng và không gây đau hay ê buốt. Vì vậy, nếu bạn đã 6 tháng chưa đi đến nha khoa để vệ sinh răng miệng, hãy yên tâm và mạnh dạn đến ngay nhé. Việc chăm sóc răng miệng định kỳ sẽ giúp bạn phòng ngừa các bệnh lý như viêm nha chu, viêm nướu, và làm cho răng của bạn chắc khỏe hơn.
QUY TRÌNH CẠO VÔI RĂNG
Cạo vôi răng sẽ giúp bạn có hàm răng trắng, tăng tính thẩm mỹ và cải thiện các vấn đề sức khỏe. Hãy liên hệ với nha khoa Pleiku để được thăm khám và tư vấn sức khỏe tận tình.
Thăm khám và tư vấn
Vệ sinh răng miệng
Tiến hành cạo vôi răng
Đánh bóng răng và kết thúc quy trình
Bác sĩ kiểm tra
BẢNG GIÁ CẠO VÔI RĂNG
| DỊCH VỤ | ĐƠN VỊ | GIÁ TIỀN |
| Cạo vôi răng | Toàn hàm | 100.000đ |

